Servicio al cliente Gratis :
912 694 250
Lun-Vie 8h30-13h/14h-17h
¿Necesita un presupuesto? Solicite un presupuesto aqui y recíbalo en 24H

¿Necesita un consejo?
Nuestro equipo de expertos está a su servicio
Llámenos al 912 694 250 (llamada gratuita)

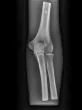
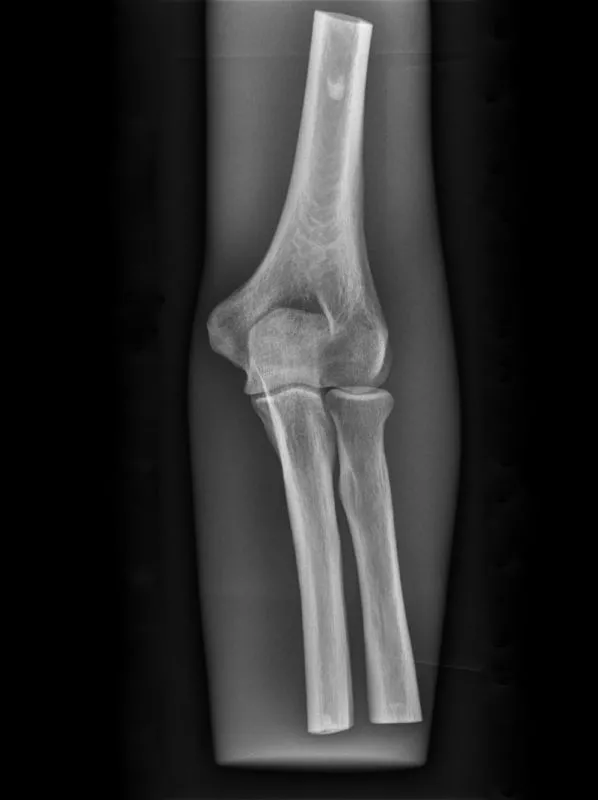
El Erler Zimmer Elbow X-Ray Ph antom es una herramienta de aprendizaje de alta gama diseñada para reproducir fielmente la anatomía del codo. Utilizando hueso humano real incrustado en plástico transparente u opaco, permite realizar radiografías realistas del húmero, el cúbito y el radio, proporcionando una experiencia educativa precisa y segura.
Cada pieza está hecha a mano y es única: sus dimensiones, forma y matices reflejan la autenticidad y calidad de su diseño. Ideal para escuelas, centros de formación o técnicos radiólogos, este fantoma permite practicar técnicas de imagen sin ningún riesgo.
Práctico y robusto, se suministra con un estuche para su transporte y almacenamiento. Disponible en versión transparente u opaca, se adapta a todas las necesidades de formación.
Modelos disponibles: Transparente u opaco
Suministrado con : Maletín de transporte
| Referencia | Fantôme-radiographique-du-coude-Erler-Zimmer |
|---|---|
| Garantía | 3 años |
| RefH | 93705RLE |
| Fabricante | Erler Zimmer |
| País de origen | Alemania |